3 Lessons
Jacob Owens
, Gunnar Whealy
, Harvey Sekhon
, Rustain Morgan
, Craig Johnson
, Lei Yu
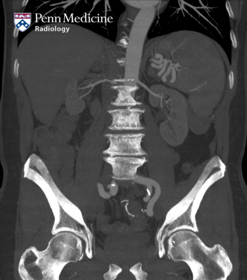
A 56-year-old man with history of coronary artery disease, myocardial infarct, hypertension, hyperlipidemia, and heart failure presented to the emergency department for painful swelling of his scrotum for a week with generalized myalgias, fatigue, and dysphonia, with the development of a large lymph node in the left supraclavicular region.
Published Date: January 2, 2026