Board Review
Cases
CME
Help
Sign In
Sign Up
Search for:
Menu
Board Review
Cases
Help
Log Out
Sign In
Home
»
Cases
Cases
Board Review
Search
All Cases
1046
Newly Created
Alphabetical
All Categories
Abdominal
Advanced Visualization
Angiography
Body
Bone Densitometry
Brain
Breast
Cardiac
Cardiac Cath
Cardiology
CT
Emergency Radiology
Fluoroscopy
Gastrointestinal
Genitourinary
Head and Neck
Interventional Radiology
Mammography
Medical Physics
MRI
Musculoskeletal
Neuroradiology
Nuclear Medicine
Ob/Gyn
Oncology
Optical Imaging
Oral and Maxillofacial
Orthopedics
Pathology
Pediatric
PET
Radiation Oncology
Radiation Therapy
Sports
Thoracic
Ultrasound
Vascular
Womens
X-Ray
All Instructors
Aditya Rao
Ahmed O. El Sadaney
Alice Wang
Amissa Brewer-Hofmann
Arun Venkataraman
Azza Al Brashdi
Bahram Mohajer
Bryan Cao
Cailin O'Connell
Catherine H. Karam, MD
Celal Tacyildiz
Chris Chang
Dr. Fumio Morimura
Dr. Katherine Hartmann
Dr. Masaki Tsuda
Dr. Mason Williams
Dr. Mohammed Al-Hajri
Dr. Quincy Hathaway
Dr. Robert H. Bardsley
Dr. Robert Romano
Dr. Shreya Bhat
Dr. Silvia Tresoldi
Dr. Wilhelm Kuker
Emmanuel Gbegli
Emmanuel Olayinka Sobamowo
Etsushi Iida
Grace Yi
Harsimran Bhatia
Jacob Owens
Jessica Carter
Jiayi Chu
Josh Barnaby MD
Judy James
Katerina Lee
Lucía Sanabria Greciano
Maria-Chiara Ambrosetti
Michael Tran Duong
Miguel Barrio Piqueras, MD
Nathan Truong
Niket Patel
Osamu Tanaka, MD
Peter Qiao
Pierpaolo Biondetti
Prajwal Dahal
Ramesh .
Richard Wu
Samuel B. Ogunlade
Sara Cherkaoui
Soichiro Tamada
Syer Ree Tee
Tanvi Pendse
Yu Lelt Win
Yuganathan .
Yuichi Tsuji
Zenjiro Sekikawa
austin.see
heirloomarchives
Free
4 Lessons
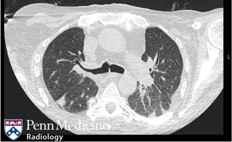
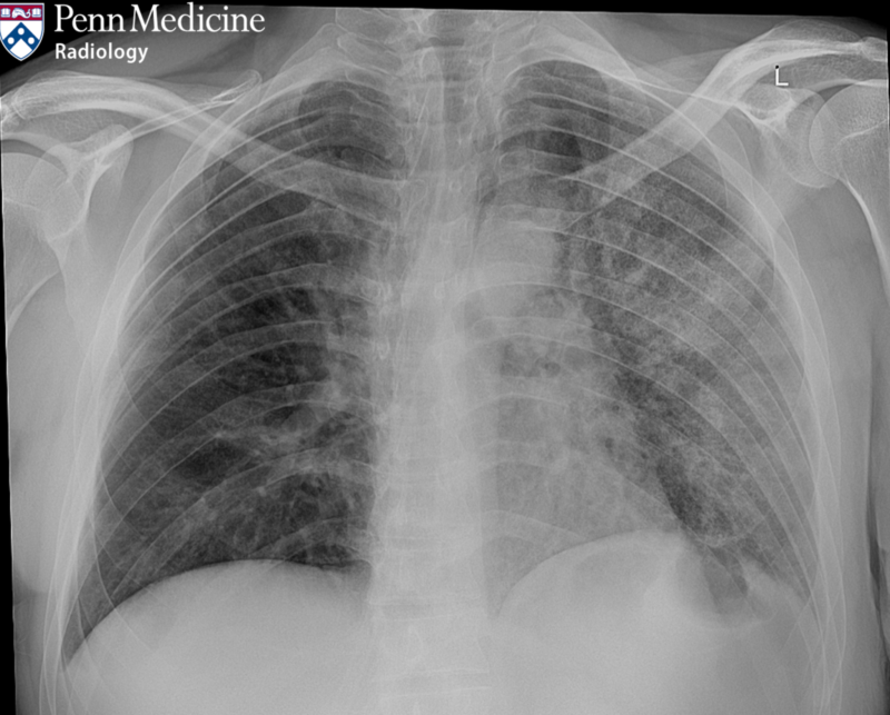
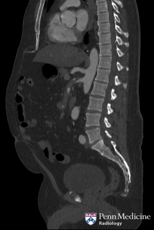
64-year-old man with dysphagia and rapid weight loss
Cailin O'Connell
A 64-year-old man with a past medical history of alcohol and tobacco use, rheumatoid arthritis, hyperlipidemia, and hypertension, presented with dysphagia and 20-pound weight loss over two to three months.
Published Date: March 6, 2026
Tags:
Angiography
,
CT
,
Gastrointestinal
,
Thoracic
Free
4 Lessons
38-year-old man with thalassemia and fatigue
Srinidhi Shanmugasundaram
A 38-year-old man with a history of thalassemia and history of multiple blood transfusions presented with fatigue.
Published Date: March 5, 2026
Tags:
Abdominal
,
Body
,
Cardiac
,
MRI
,
Vascular
Free
4 Lessons
26-year-old man with neutropenia and dyspnea
Bahram Mohajer
A 26-year-old man with a history of familial nonischemic cardiomyopathy with heart transplantation presented with dyspnea on exertion and neutropenia.
Published Date: March 3, 2026
Tags:
Cardiac
,
CT
,
PET
,
Thoracic
,
X-Ray
Free
3 Lessons
73-year-old man with lower urinary tract infection
Maria-Chiara Ambrosetti
, Federica Omboni
, Francesco Pollastri
, Anna Caliò
, Giovanni Puppini
A 73-year-old man without significant medical history presented at the urology department of our hospital for a lower urinary tract infection.
Published Date: February 27, 2026
Tags:
Abdominal
,
Body
,
CT
,
Genitourinary
,
Ultrasound
Free
4 Lessons
60-year-old woman with weight loss, fevers, confusion
Dr. Peter Makhoul
A 60-year-old woman with history of treated pulmonary adenocarcinoma and renal and pancreas transplantation on chronic immunosuppression presents with progressive weight loss, fevers, and confusion.
Published Date: February 26, 2026
Tags:
Brain
,
CT
,
MRI
,
Neuroradiology
Free
5 Lessons
24-year-old man with shortness of breath and unintentional weight loss
Dr. Quincy Hathaway
A 24-year-old man presented with a three-month history of shortness of breath and unintentional weight loss.
Published Date: February 24, 2026
Tags:
Abdominal
,
Body
,
CT
,
Genitourinary
,
Ultrasound
Free
3 Lessons
84-year-old man with fever and lower back pain
Yu Lelt Win
, Arpan K. Banerjee
, Inderjeet Nagra
An 84-year-old man presented with a fever and lower back pain. He had no prior genitourinary, gastrointestinal, respiratory, or systemic symptoms.
Published Date: February 20, 2026
Tags:
CT
,
MRI
,
Musculoskeletal
,
Pathology
Free
4 Lessons
55-year-old man with abdominal pain
Amissa Brewer-Hofmann
A 55-year-old man presented with abdominal pain.
Published Date: February 19, 2026
Tags:
Abdominal
,
Body
,
CT
,
Gastrointestinal
,
X-Ray
Free
4 Lessons
86-year-old woman presenting for abdominal aortic aneurysm surveillance
Chris Chang
An 86-year-old woman with a history of an abdominal aortic aneurysm presented for surveillance.
Published Date: February 17, 2026
Tags:
Abdominal
,
Angiography
,
Body
,
CT
,
Vascular
Free
4 Lessons
35-year-old woman with progressive pain and swelling in left lower leg
Dr. Alvaro Ordonez
A 35-year-old woman presented to the emergency department with a three-week history of progressive pain and swelling in her left lower leg.
Published Date: February 13, 2026
Tags:
Body
,
CT
,
MRI
,
Musculoskeletal
,
X-Ray
Free
4 Lessons
60-year-old man with thoracic mass
Azfar Basunia
A 60-year-old man undergoing inpatient treatment for pneumonia was transferred to a tertiary care center for the management of a thoracic mass.
Published Date: February 12, 2026
Tags:
Abdominal
,
Body
,
CT
,
MRI
,
Thoracic
Free
4 Lessons
48-year-old woman with progressive epigastric abdominal pain
Richard Wu
A 48-year-old woman presented for outpatient imaging due to intermittent epigastric abdominal pain that has progressively increased in severity.
Published Date: February 10, 2026
Tags:
Abdominal
,
CT
,
Gastrointestinal
Free
3 Lessons
80-year-old woman presenting with cough, dysphagia, and weight loss
Nathan Truong
A 70-year-old woman with CREST syndrome on long-term mycophenolate underwent [¹⁸F]-FDG PET/CT for evaluation of a growing right lung nodule detected on high-resolution CT.
Published Date: February 6, 2026
Tags:
Abdominal
,
CT
,
Gastrointestinal
,
Pathology
,
PET
Free
4 Lessons
52-year-old woman with vertigo and sinus congestion
Dr. Quincy Hathaway
A 52-year-old female presented to the emergency department for vertigo and sinus congestion.
Published Date: February 5, 2026
Tags:
CT
,
Head and Neck
,
MRI
,
PET
Free
5 Lessons
75-year-old woman undergoing thoracic aorta assessment
Bahram Mohajer
A 75-year-old woman with a history of hypertension underwent CT angiography of the chest for assessment of the thoracic aorta.
Published Date: February 3, 2026
Tags:
Angiography
,
CT
,
MRI
,
Thoracic
Free
3 Lessons
51-year-old woman with abdominal pain
Celal Tacyildiz
, Suna Yergin Tacyildiz
A 51-year-old woman with no known chronic disease presented to the emergency department with abdominal pain for 15 days.
Published Date: January 30, 2026
Tags:
Abdominal
,
CT
,
Genitourinary
,
MRI
,
Ultrasound
Free
4 Lessons
26-year-old man with shortness of breath post-tonsillectomy
Amissa Brewer-Hofmann
A 26-year-old man presented with shortness of breath following tonsillectomy/adenoidectomy.
Published Date: January 29, 2026
Tags:
CT
,
Thoracic
,
X-Ray
Free
4 Lessons
50-year-old man with progressive worsening dyspnea
Azfar Basunia
Open to access this content
Published Date: January 27, 2026
Tags:
Body
,
CT
,
PET
,
Thoracic
,
X-Ray
Free
3 Lessons
16-year-old boy with left-sided jaw pain
Alice Wang
, Sarojini David
, Raj Negi
A 16-year-old boy was referred for an urgent MRI neck, with subacute onset of general malaise, left-sided jaw pain, and swelling over the left parotid gland.
Published Date: January 23, 2026
Tags:
Head and Neck
,
MRI
,
Musculoskeletal
,
Oral and Maxillofacial
Free
4 Lessons
80-year-old man found unconscious
Dr. Peter Makhoul
An 80-year-old man was found down and unconscious.
Published Date: January 22, 2026
Tags:
Brain
,
CT
,
Emergency Radiology
,
Head and Neck
Page
1
Page
2
Page
3
…
Page
53
Next »
×