4 Lessons
Michael Tran Duong
, Manish Shah
, Tatsiana Serhiyenia
, Rani Pandya
, Ashish Subedi
, Charishma Bhimineni
, Melissa Duong
, Michelle Heayn
, Tanya Ibrahim
, Gina Stefanelli
, Mudita Patel
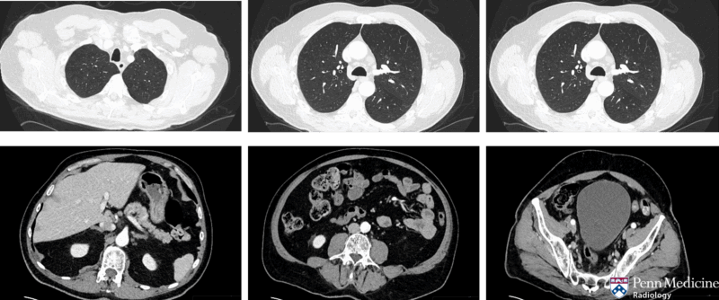
A man in his 60s, previously active in golf and pickleball, presented with difficulty standing, worsening leg weakness, paresthesias, radiating back pain, constipation, and urinary retention.
Published Date: October 31, 2025