25-year-old woman with jaw and pelvic pain
A 25-year-old woman presented with jaw and pelvic pain. She reported prior episodes of jaw pain requiring surgical intervention. The patient had a his…
Open to access this content
Open to access this content
Open to access this content
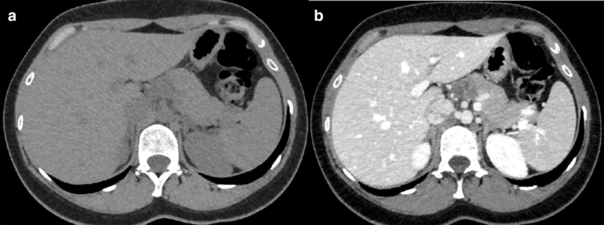
A 70-year-old man with a known diagnosis of an infrarenal abdominal aortic aneurysm (AAA) underwent repair with a bifurcated aorto-bi-iliac endovas…