• Board Review
  • Cases
  • CME
  • Help
    Sign In Sign Up

    Menu

    • Board Review
    • Cases
    • Help
    • Log Out
    • Sign In
    Home » Cases

    Case Tag: Cases

    68-year-old man with type 2 diabetes and foot ulceration

    A 68-year-old man with a history of poorly controlled type 2 diabetes mellitus and associated complications, including foot ulceration with previous o…

    29-year-old woman with greenish-yellow vaginal discharge and abdominal pain

    A 29-year-old woman presented with greenish-yellow vaginal discharge and lower abdominal pain.

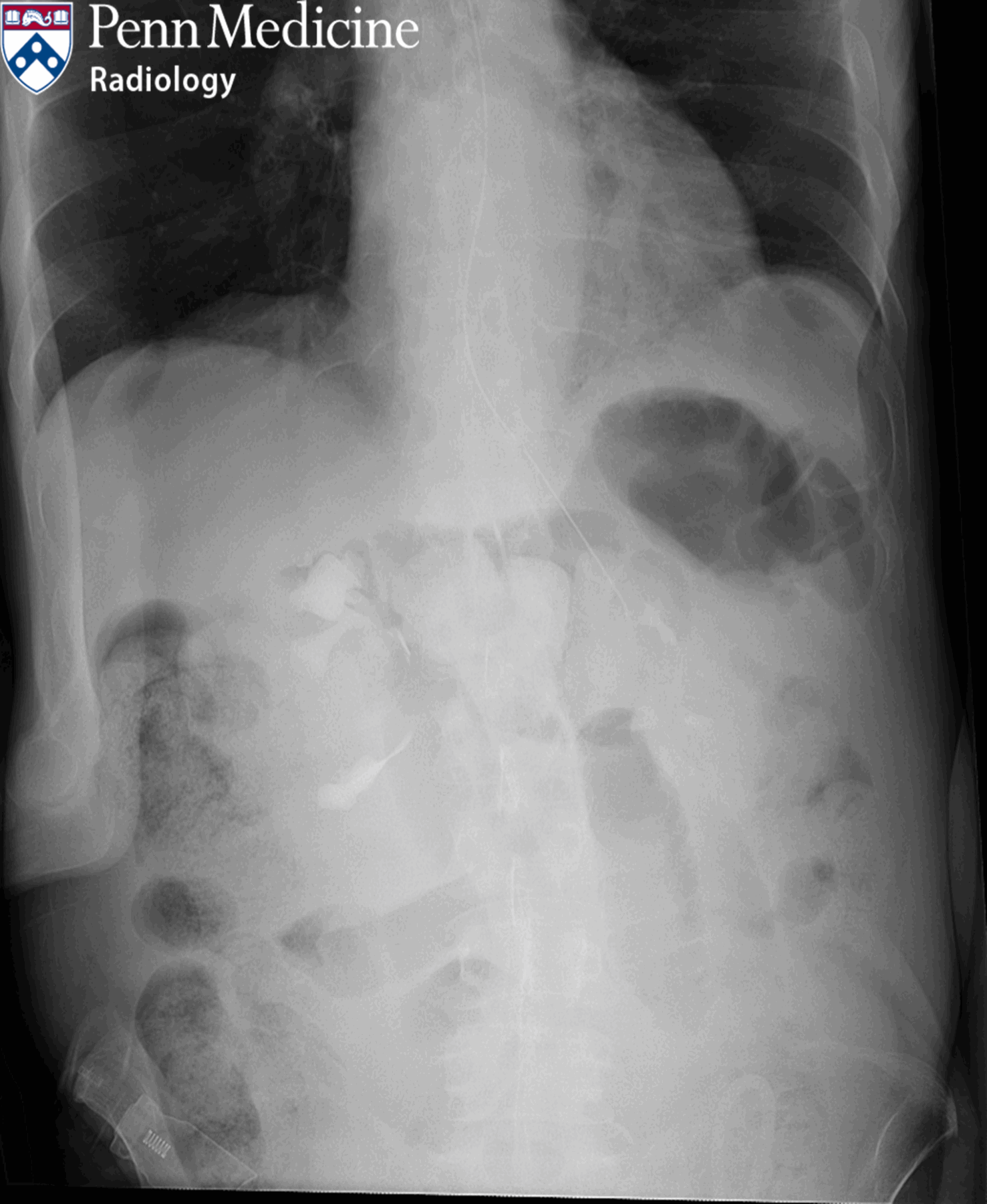
    77-year-old man with abdominal pain and vomiting

    A 77-year-old man with a history of HIV infection and COPD presented to the emergency department for abdominal pain and vomiting.

    Man in his 60s with back pain and paresthesias

    A man in his 60s, previously active in golf and pickleball, presented with difficulty standing, worsening leg weakness, paresthesias, radiating back p…

    62-year-old man with hearing loss

    A 62-year-old man presented with bilateral sensorineural hearing loss.

    37-year-old man with abdominal pain and incidental hepatic lesion

    A 37-year-old man presented with abdominal pain and an incidental hepatic lesion.

    55-year-old man with exertional shortness of breath and palpitations

    A 55-year-old man with a background history of Type 2 diabetes mellitus, hypertension, and dyslipidemia presented to a peripheral hospital with exerti…

    80-year-old man with ascending aortic aneurysm

    An 80-year-old man presented for screening CTA chest for known ascending aortic aneurysm.

    90-year-old man with left neck mass and loss of appetite

    A 90-year-old man presented to the emergency department with two months of enlarging left neck mass and loss of appetite.

    10-year-old boy with persistent nonspecific headaches

    A previously healthy 10-year-old boy underwent an MRI scan for nonspecific headaches.
    Load More
    • Board Review
    • Cases
    • CME
    • Help

    Privacy Policy | Privacy Settings | Terms & Conditions | Contact Us | Site Map | Home

    Facebook Twitter Linkedin
    © 2023 Science and Medicine Group. All rights reserved.