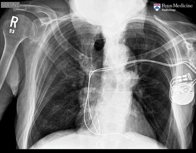
90-year-old man with left neck mass and loss of appetite

A 90-year-old man presented to the emergency department with two months of enlarging left neck mass and loss of appetite.
Azfar Basunia ·     October 21, 2025

CASE INSTRUCTIONS:

  1. Click the blue “Take this Case” button. This enrolls you to have access to the case. Alternatively, the button may say “Log in to Take this Case” or “Take this Course.”
  2. Click the blue “Start Case” button. This takes you into the Case. Alternatively, you can click the word “History.”
  3. Read the case history. The “History” section provides you with initial background information and may contain images relevant to the case.
  4. Click the right navigation arrow at the top of the page. This next button takes you to “Quiz” section. Alternatively, you can click the “Quiz” button.
  5. Answer all quiz questions. The “Quiz” section contains questions and additional case information. Make sure you answer the questions in order.
  6. Click the “Finish Quiz” button at the bottom of the page. If any of your answers are incorrect, click the “View Questions” button to see the correct answer or select “Click Here to Continue” to move onto the discussion.
  7. Read the discussion. The “Discussion” is the last section of each case. It provides more relevant information.

Note- Throughout the case, you can use the left and right arrows at the top to advance forward or move backward. You can also navigate to any page using the case navigation menu. You may also retake the quiz as many times as you like.

+429 enrolled
Not Enrolled

Case Includes

  • 4 Lessons
  • 2 Quizzes