• Board Review
  • Cases
  • CME
  • Help
    Sign In Sign Up

    Menu

    • Board Review
    • Cases
    • Help
    • Log Out
    • Sign In
    Home » Neuroradiology » Page 7

    Case Category: Neuroradiology

    62-year-old man with progressive cognitive decline

    A 62-year-old man with progressive vertigo, ataxia, and cognitive decline over a few months. 

    51-year-old woman presenting after loss of consciousness and fall

    A 51-year-old woman with no significant past medical history presents with loss of consciousness, fall, nausea/vomiting, and abdominal pain.

    29-year-old man with complex partial seizures

    A 29-year-old man with frequent episodes of complex partial seizures.

    61-year-old man with incidental CT finding

    A 61-year-old man with an incidental finding on a head CT performed for an unrelated reason.

    31-year-old woman with light perception blindness followed by upper extremity weakness four years later

    31-year-old woman with light perception blindness, followed by upper extremity weakness four years later.

    10-year-old girl in semiunconscious condition

    10-year old girl in a semiunconscious state.

    38-year-old man with head trauma

    A 38-year-old man presented to the emergency department with head trauma.

    66-year-old man with skull base mass

    A symptomatic 66-year-old man with a history of left-sided skull base mass.

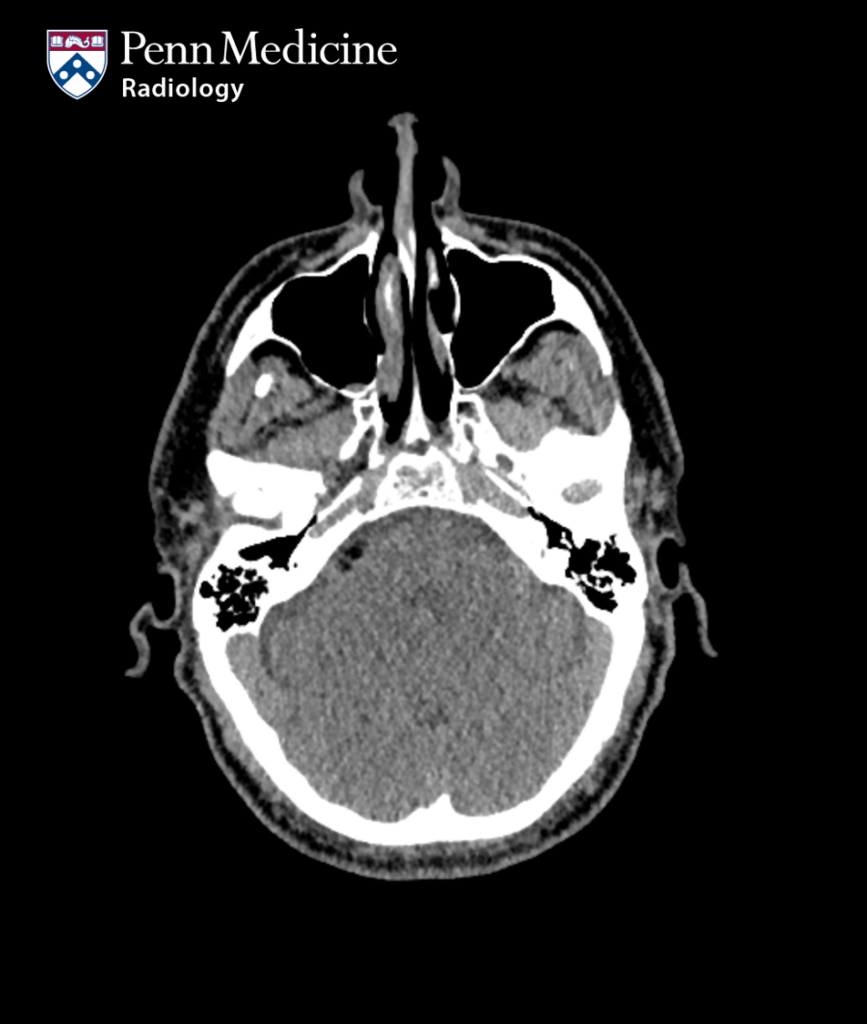
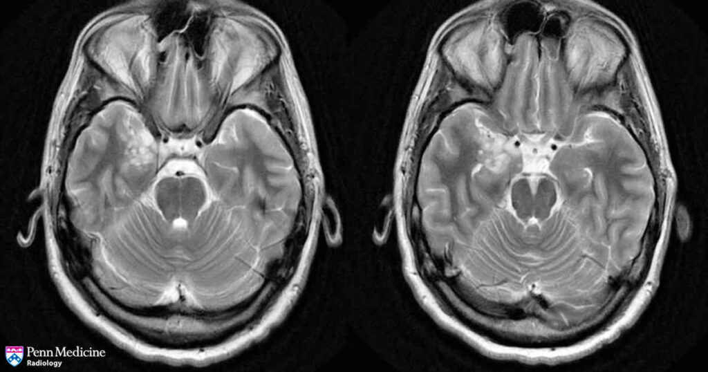
    61-year-old man with hearing loss

    A 61-year-old man presented with decreased hearing on the right side.

    65-year-old man with facial asymmetry

    A 65-year-old man with facial asymmetry.

    Load More
    • Board Review
    • Cases
    • CME
    • Help
    Privacy Policy | Privacy Settings | Terms & Conditions | Contact Us | Site Map | Home
    Facebook Twitter Linkedin
    © 2023 Science and Medicine Group. All rights reserved.