• Board Review
  • Cases
  • CME
  • Help
    Sign In Sign Up

    Menu

    • Board Review
    • Cases
    • Help
    • Log Out
    • Sign In
    Home » Neuroradiology » Page 10

    Case Category: Neuroradiology

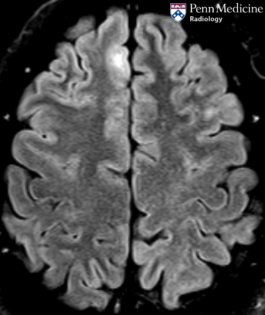
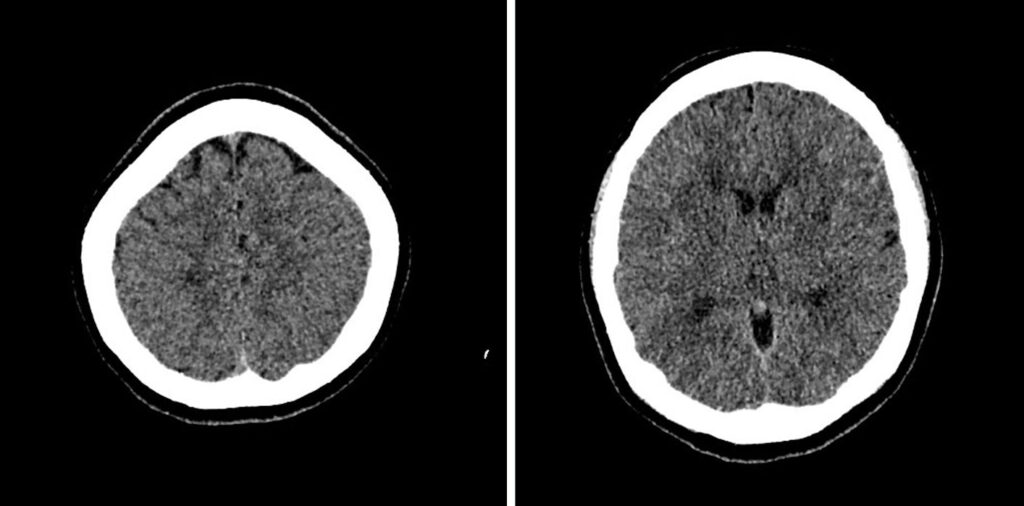
    56-year-old woman with cognitive decline

    A 56-year-old woman with slow cognitive decline.

    1-year-old boy with diarrhea, vomiting, elevated urea

    A 1-year-old boy with a seven-day history of diarrhea and vomiting.

    65-year-old woman with pulsatile tinnitus

    A 65-year-old woman with a long history of pulsatile tinnitus.

    71-year-old man with dizziness, facial numbness

    A 71-year-old man with dizziness and vertigo, numbness in the face and tongue, and pain when turning his head.

    54-year-old woman with memory loss, paresthesia

    A 54-year-old woman with acute onset of short-term memory loss and left-sided paresthesia.

    30-year-old woman with enlarging renal lesions

    A 30-year-old woman with a history of cognitive impairment and seizures now with enlarging renal lesions.

    57-year-old man with frequent headaches

    A 57-year-old man with frequent, worsening headaches.

    45-year-old woman with dysarthria

    A 45-year-old woman with dysarthria and prior COVID-19 symptoms.

    58-year-old man with low back pain

    A 58-year-old man with chronic low back pain and more recent lower-extremity pain.

    25-year-old man with headache, blurry vision

    A 25-year-old man with family history of a genetic disorder presenting with headache and blurry vision.

    Load More
    • Board Review
    • Cases
    • CME
    • Help
    Privacy Policy | Privacy Settings | Terms & Conditions | Contact Us | Site Map | Home
    Facebook Twitter Linkedin
    © 2023 Science and Medicine Group. All rights reserved.