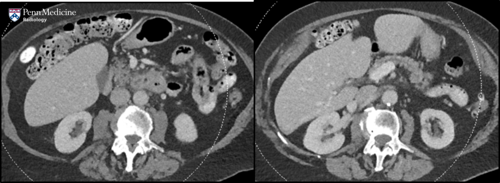
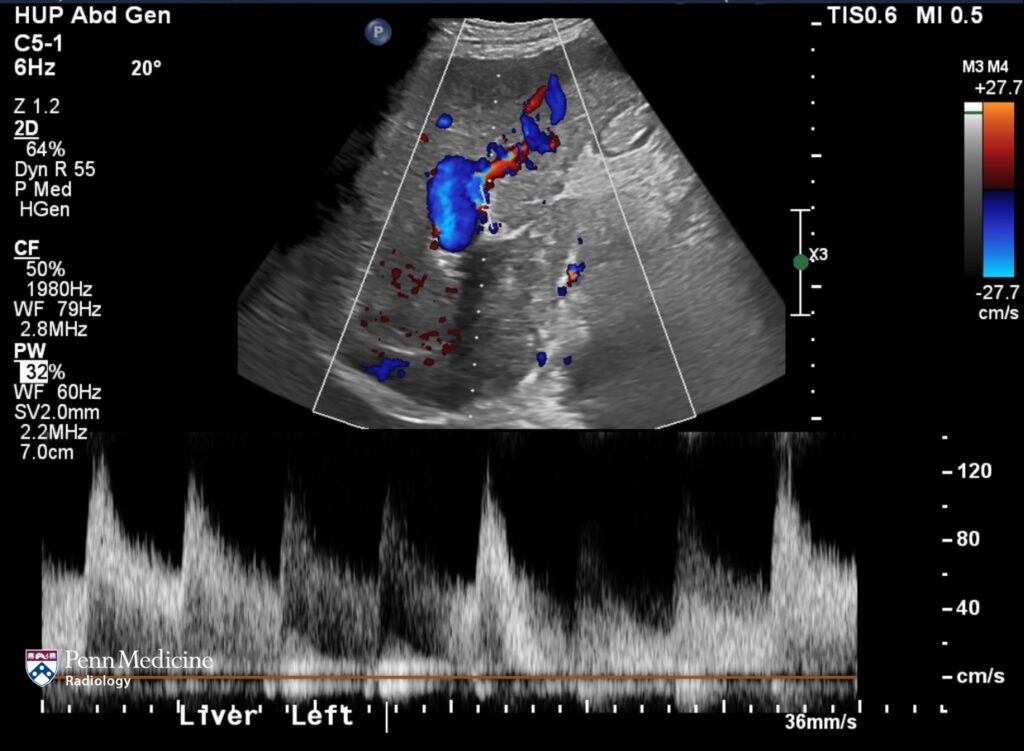
32-year-old man with incidental liver lesion
A 32-year-old man presented for further evaluation of an incidental liver lesion.
A 51-year-old man with right lower quadrant pain.
A 74-year-old man presented with right lower quadrant pain.
A 21-year-old woman presented for outpatient evaluation of intermittent pelvic pain correlating with menses.