Lesson 1 of 0
In Progress
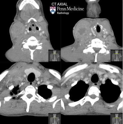
Findings and diagnosis
Findings
CT: There is a large intramuscular abscess within the inferior right sternocleidomastoid muscle with overlying cellulitis within the right anterolateral neck and reactive cervical lymphadenopathy. The airway is patent. There is associated thrombophlebitis of the right internal jugular vein, concerning for Lemierre syndrome.
Differential diagnosis
- Lemierre syndrome
- Oropharyngeal infection
- Cervical lymphadenitis
- Deep venous thrombosis
Diagnosis: Lemierre syndrome


