• Board Review
  • Cases
  • CME
  • Help
    Sign In Sign Up

    Menu

    • Board Review
    • Cases
    • Help
    • Log Out
    • Sign In
    Home » Abdominal » Page 32

    Case Category: Abdominal

    30-year-old man undergoing renal failure evaluation

    A 30-year-old man with a history of prune belly syndrome and chronic kidney disease.

    68-year-old man with urinary retention

    A 68-year-old man with urinary retention and a history of prostate cancer.

    48-year-old woman with right upper abdominal pain

    A 48-year-old woman with upper abdominal pain evolving for one month.

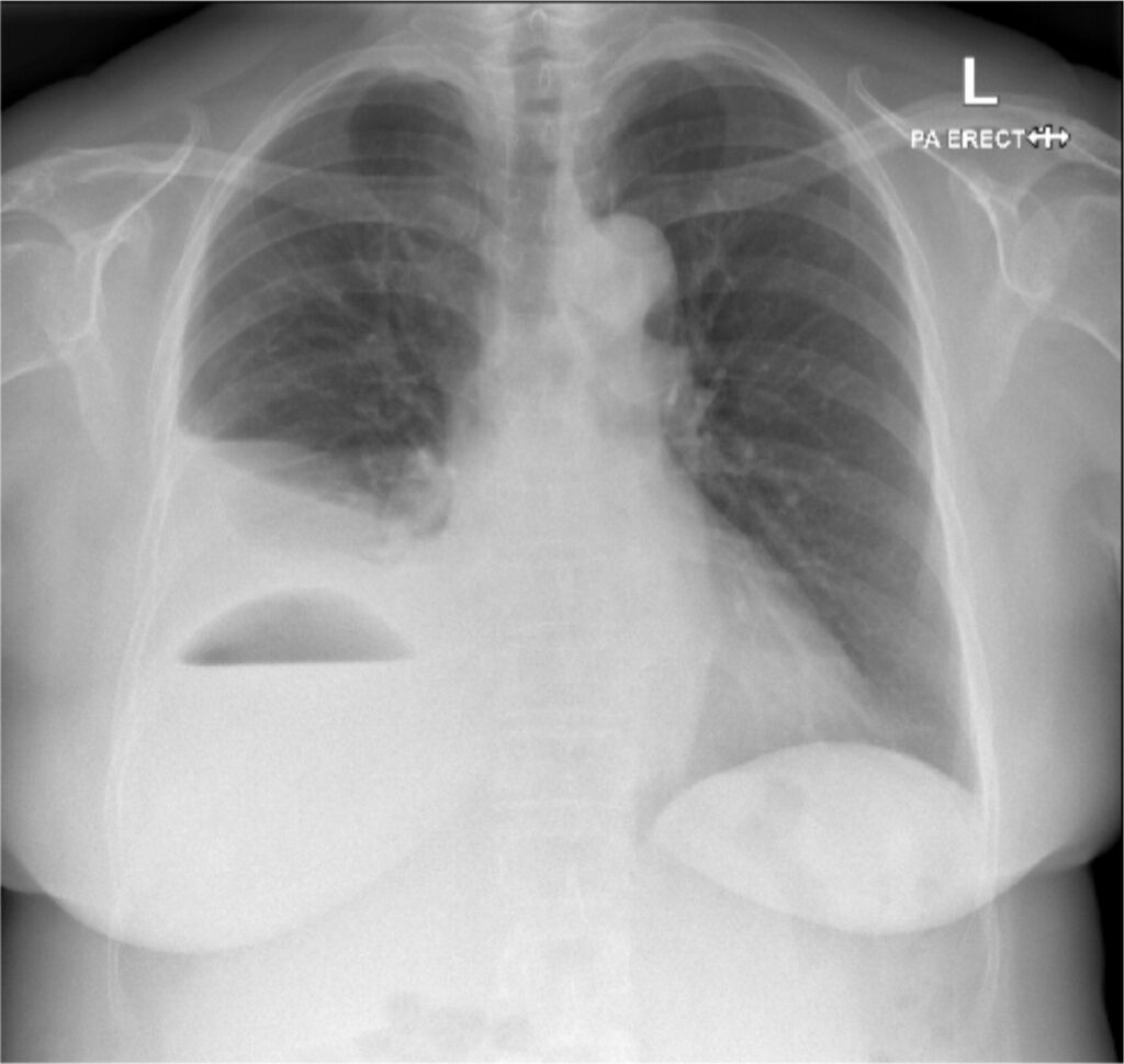
    20-year-old woman with shortness of breath after traffic accident

    A 20-year-old woman with shortness of breath and chest/abdominal pain.

    30-year-old woman with enlarging renal lesions

    A 30-year-old woman with a history of cognitive impairment and seizures now with enlarging renal lesions.

    48-year-old woman with breast cancer

    A 48-year-old woman with a history of breast cancer undergoing a bone scan.

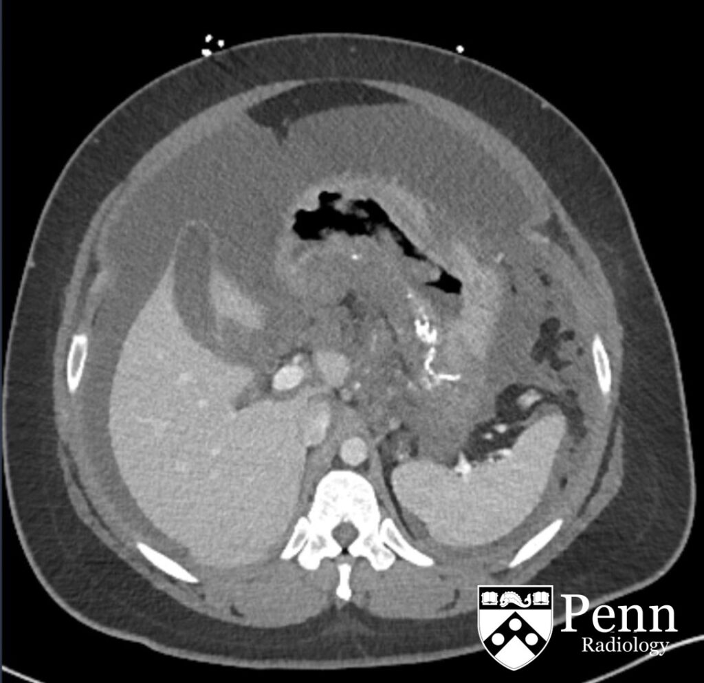
    24-year-old woman with abdominal pain

    A 24-year-old woman with subacute abdominal pain.

    65-year-old man with abdominal pain, early satiety

    A 65-year-old man with two months of abdominal pain and early satiety.

    63-year-old woman undergoing lung nodule follow-up

    A 63-year-old woman undergoing unenhanced chest CT for follow-up of lung nodule.

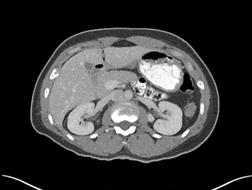
    46-year-old woman with abdominal pain

    A 46-year-old woman with abdominal pain and lack of bowel movements.

    Load More
    • Board Review
    • Cases
    • CME
    • Help
    Privacy Policy | Privacy Settings | Terms & Conditions | Contact Us | Site Map | Home
    Facebook Twitter Linkedin
    © 2023 Science and Medicine Group. All rights reserved.