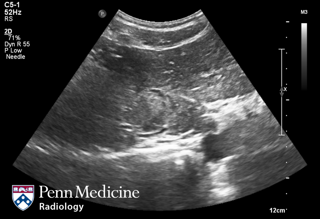
Lesson 1 of 0 In Progress Ultrasound image Ultrasound-guided biopsy was performed. Ultrasound revealed that the lesion had hyperechoic, isoechoic, and hypoechoic parts relative to the surrounding liver. Pathologic diagnosis: angiomyolipoma